Разное
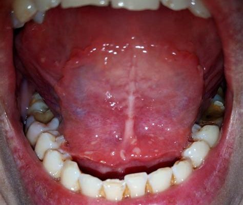
Синие пятна, которые появляются под языком, могут вызывать беспокойство и неприятные ощущения. Но что они означают и как с ними следует обращаться?
В таджикском языке существует множество интересных выражений и слов, одно из которых — «джон». Это слово не имеет точного аналога в русском
С ростом популярности интернета и развитием сетевых технологий все больше людей обращают внимание на возможность получить образование в онлайн формате.
Жесты между парнем и девушкой могут иметь глубокий символический смысл. Один из таких жестов — греть руки девушке. Подобное действие может передавать
Повествовательное восклицательное предложение – это разновидность восклицательного предложения, которая используется для передачи эмоциональной окраски





